Dental Implants

If you have missing teeth, dental implants are a widely recognized and effective long-term solution. They are designed to provide a strong, reliable, and natural-feeling replacement that can restore your smile and oral function. Many dental professionals consider implants to be a leading standard of care for replacing missing teeth.
Dental implants offer the most sophisticated way to achieve this, providing results that are remarkably close to natural teeth. At Dental Arts of Cherry Hills, we offer comprehensive implant solutions. From single tooth replacements to rebuilding entire arches, our services are designed to give you back the comfort, function, and unwavering confidence of a complete, healthy smile.
What Are Dental Implants?
Dental implants are the solution for missing teeth that perfectly mimics nature's design, making them the premier choice for tooth replacement. Unlike other options that merely sit on the gums or rely on adjacent teeth for support, dental implants integrate directly with your body to provide a truly stable and long-lasting foundation for your new teeth.
At their core, dental implants function as artificial tooth roots. They typically consist of three key components that work together.
Implant Post
This is a small, screw-like post that is precision-milled from biocompatible titanium. Biocompatible means your body accepts it readily without rejection. This post is gently and precisely placed into the jawbone during a surgical procedure, positioned in place of the root of your missing tooth.
Over the next few months, this titanium post fuses naturally with the bone through a natural process called osseointegration. This remarkable biological bond creates an incredibly strong and stable foundation, essentially making the implant a permanent part of your jaw.
Abutment
Once osseointegration is complete, a small connector piece called an abutment is attached to the top of the implant post. This abutment protrudes just slightly above the gum line, acting as the secure docking point for your final restoration.
Custom Restoration
The final, visible part is the custom-made replaced tooth that is hand-crafted in our in-house lab by Dr. Kostas to match your natural teeth. This could be a single dental crown for one missing tooth, a dental bridge spanning a gap of multiple missing teeth, or even a full denture or prosthesis for replacing an entire arch – all securely anchored to the implant abutments.
Advantages of Dental Implants
At Dental Arts of Cherry Hills, our goal is to ensure your dental implant treatment goes beyond just filling the gap left by missing teeth. We focus on the comprehensive restoration of complete oral function, ideal aesthetic harmony, and long-term oral wellness for you.
By replacing both the root and the crown of the missing tooth, implants provide a solution that looks, feels, and performs more like your natural teeth than any alternative treatment options. Opting for dental implants is an investment in your long-term health, function, and confidence.
- Natural Appearance & Function: Chew your favorite foods, speak clearly, and smile naturally without worry.
- Unmatched Durability: Designed to be a permanent solution, often lasting a lifetime with proper care.
- Jawbone Preservation: Implants stimulate the jawbone like natural roots, preventing any bone deterioration that typically occurs when teeth are lost.
- Protection for Adjacent Teeth: Unlike traditional dental bridges, implants don't require grinding down healthy neighboring teeth for support.
- Rock-Solid Stability: Eliminate the discomfort, slipping, clicking, and messy adhesives associated with removable dentures.
- Renewed Confidence: Feel free to laugh, socialize, and live without feeling self-conscious about gaps in your smile.
- Improved Oral Hygiene: Implants can be cared for much like natural teeth, without the hygiene challenges posed by bridges.
Our Comprehensive Implant Solutions
Choosing Dental Arts of Cherry Hills for your dental implants means having access to a unique combination of specialized, cutting-edge technology and a full spectrum of treatment options designed to meet your individual needs precisely.
We believe that optimal dental restorations are inherently personalized. Therefore, rather than using a one-size-fits-all solution, we leverage our unique clinical and technical capabilities to deliver the best solution for your smile.
Dr. Kostas's Expertise & Advanced Planning
Successful implant dentistry requires mastery in both placing the implant and restoring it beautifully. Dr. Kostas has extensive advanced training and substantial clinical experience across the entire implant process.
His deep understanding of surgical protocols, combined with his prosthodontic expertise in bite function (occlusion) and aesthetics, ensures results that are biologically sound, functionally optimal, and look completely natural, whether restoring one tooth or an entire arch.
This clinical expertise is further enhanced by our use of state-of-the-art, in-house 3D Cone-Beam Imaging (CBCT) technology for precise pre-surgical planning. This sophisticated imaging option allows Dr. Kostas to precisely visualize your dental anatomy – bone density, nerve pathways, sinus locations – in 3D before any procedures are performed.
This detailed digital blueprint enables unparalleled surgical precision, maximizing safety and predictability for every single implant placement.
Our ability to integrate expertise and technology under one roof means that we can confidently offer a wide range of implant solutions tailored to restore your smile effectively.
Replace Single or Multiple Teeth
For individual missing teeth, a single implant topped with a custom crown (crafted in our lab) provides an ideal, self-contained solution. If you're missing several teeth consecutively, an implant-supported bridge, anchored securely by two or more implants, can offer a durable fix without impacting adjacent healthy teeth.
Full Arch Restoration (All-on-4®)
If you’re facing the loss of all upper or lower teeth or struggling with ill-fitting dentures, the All-on-4® treatment option offers a revolutionary path forward. This approach typically uses just four strategically positioned implants, precisely planned using CBCT, to support a full, fixed (non-removable) bridge.
All-on-4® often minimizes the need for extensive bone grafting and can provide remarkable stability and immediate functional improvement. Dr. Kostas plans and executes these complex cases to create a beautiful, durable full-arch prosthesis from our lab.
Same-Day Implants
We also understand that in some cases, there may be a need for immediate improvement and offer same-day teeth restorations for qualifying candidates. Dr. Kostas evaluates each case for same-day teeth by carefully assessing bone quality during surgery.
This approach significantly streamlines the initial restorative phase. In this case, the restoration is immediate, and you will be able to leave the office with a full mouth of teeth.

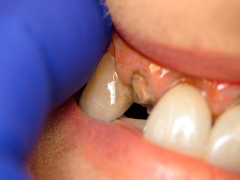
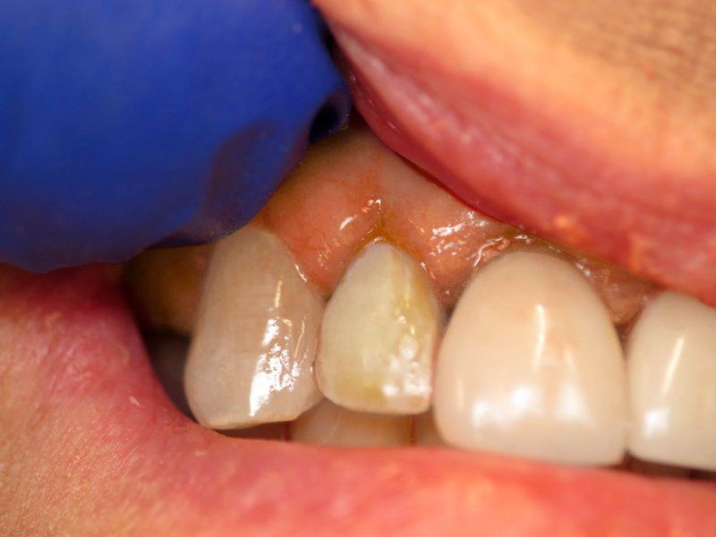
Before

After
What to Expect with the Dental Implant Procedure
Your initial visit with Dr. Kostas may be for evaluating restoration options for missing teeth. During this consultation, he performs a thorough examination and discusses your goals and medical history. He may also perform a CBCT scan to precisely map your anatomy and plan implant placement.
Dr. Kostas then creates a treatment plan outlining the recommended procedure and timeline for you. If a dental implant is recommended, our team will schedule an appointment for the procedure.
At Dental Arts of Cherry Hills, dental implant surgery is typically performed as an outpatient procedure and is performed in stages. This allows for proper healing and the best long-term results.
Here’s what you can expect with the dental implant process.
Implant Placement
Before placing your dental implant, Dr. Kostas may need to remove a damaged tooth or perform a bone graft to ensure your jaw is strong enough to support the implant. Once he determines that your jawbone is ready, the implant placement procedure is scheduled.
On the day of the implant procedure, Dr. Kostas surgically places the titanium implant posts into your jawbone. Recognizing the importance of patient comfort, we offer intravenous (IV) sedation options to ensure you are in a relaxed state throughout the procedure.
- He begins by numbing the area with local anesthesia so you won’t feel any pain.
- A small incision is made in your gums to expose the bone underneath.
- Using precise tools, Dr. Kostas will create a small opening in your jawbone and gradually widen it to fit the implant just right.
- The dental implant is then carefully placed into the bone, serving as your new tooth root.
- He repositions your gum tissue and closes the area with stitches to help it heal properly.
If your implant is placed near the front of your mouth, we create a temporary tooth for you to wear during the healing process. If the implant is in the back of your mouth, a temporary tooth typically isn’t necessary.
Healing & Osseointegration
The titanium post acts as a strong, artificial tooth root, gradually fusing with the jawbone through the process of osseointegration, which typically takes 3 to 9 months. It provides a stable foundation for the final restoration.
Our team monitors your healing progress through this phase to ensure the implant integrates properly with your jawbone and the surrounding tissues heal.
Abutment Placement & Final Restoration
Once the implant is fully integrated with the bone, we schedule an appointment to place the abutment and your final restoration. Impressions or digital scans are taken to create your final, custom crown, bridge, or full-arch prosthesis in our in-house lab. Once crafted, Dr. Kostas secures your permanent, beautiful new teeth.
The visible crown, bridge, or full-arch prosthesis is critical to your final result. Under Dr. Kostas's direct oversight, your custom restorations are fabricated in our on-site dental lab using premium materials, ensuring exceptional fit, comfort, and perfectly matched aesthetics that blend seamlessly with your natural smile.
This integration often allows for greater efficiency and quality control compared to practices relying solely on external labs.
Making Your Investment Affordable
Dental implants are a valuable investment in your long-term oral health, confidence, and quality of life. We strive to make this life-changing treatment accessible to all patients who need it.
We accept various payment methods and partner with leading healthcare financing companies, such as CareCredit® and LendingClub Patient Solutions, to offer flexible payment plans. Our team will be happy to discuss costs and financing options during your consultation.
Expert Dental Implant Placement in Englewood, CO
Living with missing teeth can impact your confidence and overall well-being, but it doesn't have to be permanent. At Dental Arts of Cherry Hills, we're passionate about helping you reclaim your smile and your quality of life.
Dental implants offer the most durable, natural-feeling, and beneficial solution available today. Experience the difference that expert care, advanced technology, and personalized attention can make.
To schedule a consultation, please call us at 720-868-8092 or request an appointment online. We’re committed to helping you reclaim your natural smile.
